Вы можете быть уверены, что получите идеальную улыбку
Наше кредо: 100% безболезненность, доброжелательность и гарантия результата.
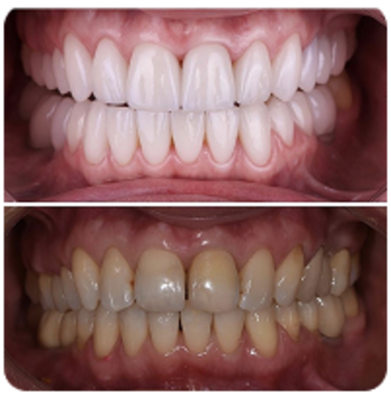
Не просто лечим, а гарантируем результат на долгие годы
Поэтому все наши обязательства мы честно фиксируем в договоре.на работу врача
на коронки и протезы
на имплант
Записаться на лечение
Нам доверяют
97% пациентов рекомендуют
нас своим близким.
нас своим близким.
Я лично отвечаю
за каждого пациента
за каждого пациента
Доверьте вашу улыбку надёжной стоматологии
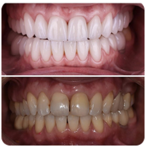
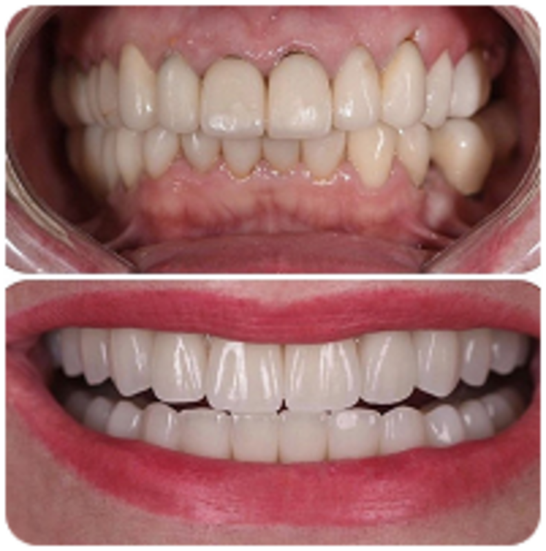
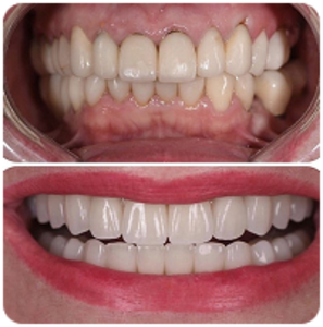
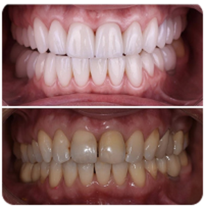
Посмотрите результаты нашей работы и убедитесь самы!
Не просто лечим, а гарантируем результат на долгие годы
Нас стоматологический центр готов предложить своим пациентам широчайший перечень услуг, в который входят процедуры терапевтической, хирургической, ортопедической стоматологии, лечение болезней дёсен, ортодонтию, лазерную стоматологию и отбеливание и многие дургие современные стоматолгические услугиНе откладывайте визит к стоматологу,
запишитесь на приём сейчас!Акции и предложения
Ваша современная
стоматология с опытными врачами экспертного уровня
Для вашего удобства мы работаем руглосуточно в ВАО в пешей доступности от метро Щёлковская и Первомайская, вы можете записаться на приём к врачу в любое удобное для вас время.
Внимание к каждому клиенту, предоставление качественных стоматологических услуг, лечение без боли — вот основные принципы нашей работы.
Стоимость услуг
- Прием врача стоматолога-терапевта первичный (осмотр, консультация, ОПТГ) 600,00 руб
- Прием врача стоматолога-терапевта повторный 500,00 руб
- Анестезия аппликационная 400,00 руб
- Анестезия инфильтрационная 900,00 руб
- Анестезия проводниковая 1100,00 руб
- Введение лекарственных препаратов инъекционно 700,00 руб
- Постановка коффердама 1000,00 руб
- Использование ректрактора OptraGate 400,00 руб
- Рентгенвизиография зуба (без лечения хирургического и терапевтического) 500,00 руб
- Рентгенвизиография зуба (при лечении хирургическом или терапевтическом) первичное 400,00 руб
- Рентгенвизиография зуба (при лечении хирургическом или терапевтическом) повторное 200,00 руб
- Ортопантомограмма (цифровая) с выдачей результата 1600,00 руб
- Ортопантомограмма (цифровая) без выдачи результата 600,00 руб
- ICON инновационное лечение кариеса (без препарирования) 1 категория 3400,00 руб
- Внутриканальное отбеливание 2400,00 руб
- Восстановление культи зуба под ортопедическую коронку с использованием внутриканального штифта 2800,00 руб
- Использование стекловолоконого штифта 2400,00 руб
- Наложение пломбы из композиционного материала светового отверждение Flitek P60 на две поверхности зуба 5500,00 руб
- Прием врача стоматолога-хирурга первичный (осмотр, консультация, ОПТГ) 600,00 руб
- Прием врача стоматолога-хирурга повторный 500,00 руб
- Анестезия аппликационная 500,00 руб
- Анестезия инфильтрационная 1000,00 руб
- Анестезия проводниковая 1100,00 руб
- Вскрытие пародонтального абсцесса 1 категория 2000,00 руб
- Вскрытие пародонтального абсцесса 2 категория 3000,00 руб
- Иссечение капюшона по поводу перикоронарита 2900,00 руб
- Лечение альвеолита (кюретаж лунки, наложение лекарственных средств) 1800,00 руб
- Наложение 1-го шва 1000,00 руб
- Послеоперационная перевязка 1300,00 руб
- Удаление пародонтальной кисты в области 1-2 зубов 4700,00 руб
- Удаление ретенционной кисты 7800,00 руб
- Удаление новообразования слизистой оболочки полости рта 7300,00 руб
- Удаление однокорневого зуба простое 4200,00 руб
- Удаление однокорневого зуба сложное 4800,00 руб
- Удаление двухкорневого зуба простое 5400,00 руб
- Удаление двухкорневого зуба сложное 6000,00 руб
- Удаление трехкорневого зуба простое 6600,00 руб
- Удаление трехкорневого зуба сложное 7200,00 руб
- Удаление четырехкорневого зуба простое 7800,00 руб
- Удаление четырехкорневого зуба сложное 8400,00 руб
- Удаление отломка (фрактуры) коронковой части зуба 3600,00 руб
- Удаление ретенированного, дистопированного зуба I степени сложности 9600,00 руб
- Удаление ретенированного, дистопированного зуба II степени сложности 12000,00 руб
- Удаление ретенированного, дистопированного зуба III степени сложности 14400,00 руб
- Экзостозэктомия 3600,00 руб
- Удаление подвижного зуба молочного прикуса в дежурство 1500,00 руб
- Удаление зуба молочного прикуса в дежурство 2700,00 руб
- Временное пломбирование 1-го корневого канала при лечении пульпита , периодонтита 1800,00 руб
- Дополнительный канал при пульпите (механическая и медикаментозная обработка, пломбирование) 2200,00 руб
- Дополнительный канал при пульпите (механическая и медикаментозная обработка) Reciproc 2300,00 руб
- Дополнительный или отдельный канал (механическая и медикаментозная обработка) 3000,00 руб
- Дополнительный или отдельный канал (механическая и медикаментозная обработка) Reciproc 3100,00 руб
- Извлечение инородного тела из канала 1800,00 руб
- Лечение периодонтита 1-но канального зуба (механическая и медикаментозная обработка канала) 3000,00 руб
- Лечение периодонтита 1-но канального зуба (механическая и медикаментозная обработка) Reciproc 7100,00 руб
- Лечение периодонтита 2-х канального зуба (механическая и медикаментозная обработка 2-х каналов) 4800,00 руб
- Лечение периодонтита 2-х канального зуба (механическая и медикаментозная обработка) Reciproc 9500,00 руб
- Лечение периодонтита 3-х канального зуба (механическая и медикаментозная обработка 3-х каналов) 7200,00 руб
- Лечение периодонтита 3-х канального зуба (механическая и медикаментозная обработка) Reciproc 10700,00 руб
- Лечение пульпита 1-но канального зуба (механическая и медикаментозная обработка, пломбирование канала) 2200,00 руб
- Лечение пульпита 1-но канального зуба (механическая и медикаментозная обработка ) Reciproc 4200,00 руб
- Лечение пульпита 2-х канального зуба (механическая и медикаментозная обработка, пломбирование 2-х каналов) 4400,00 руб
- Лечение пульпита 2-х канального зуба (механическая и медикаментозная обработка) Reciproc 5900,00 руб
- Лечение пульпита 3-х канального зуба (механическая и медикаментозная обработка, пломбирование 3-х каналов) 6600,00 руб
- Лечение пульпита 3-х канального зуба (механическая и медикаментозная обработка ) Reciproc 7800,00 руб
- Наложение пломбы из композиционного материала светового отверждение Flitek P60 на одну поверхность зуба 4400,00 руб
- Наложение пломбы из композиционного материала светового отверждение Flitek P60 на две поверхности зуба 5800,00 руб
- Наложение пломбы из композиционного материала светового отверждение Flitek Z550 на одну поверхность зуба 4700,00 руб
- Наложение пломбы из композиционного материала светового отверждение Flitek Z550 на две поверхности зуба 7100,00 руб
- Наложение пломбы из композиционного материала светового отверждения "Филтек Суприм", "Филтек ultimate", "Эстилайт" с использованием высокотехнологичного наноматериала SDR 8300,00 руб
- Наложение пломбы из композиционного материала светового отверждение Flitek Ultimate на одну поверхность зуба 5800,00 руб
- Наложение пломбы из композиционного материала светового отверждение Flitek Ultimate на две поверхности зуба 8300,00 руб
- Постановка временной пломбы (временная повязка) 1100,00 руб
- Постоянное пломбирование корневого канала 1400,00 руб
- Распломбировка 1-го канала, запломбированного гуттаперчивыми штифтами, пастой 1100,00 руб
- Распломбировка 1-го канала, запломбированного резорцин-формалиновым методом, цементом 1600,00 руб
- Наложение девитализирующей пасты (импортного производства) 2500,00 руб
- Наложение девитализирующей пасты (российского производства) 400,00 руб
- Постановка временной пломбы 800,00 руб
- Постановка временной фотополимерной пломбы 1200,00 руб
Ждём вас ежедневно
Москва, Сиреневый бульвар, 32а
Круглосуточно
+7 495 154-66-57
от метро Щелковская
10 мин
от метро Первомайская
10 мин

Что о нас говорят?